Featured
Signs That Your Cervical Fusion Is Failing
An instrumented fusion can fail if there is not enough support to hold the spine while it is fusing. Symptoms of a failed cervical fusion include partially relieved pain and worsened pain after healing from surgery explains NYC Surgical Associates.
Failure Of Cervical Artificial Discs Spine Specialist Vail Aspen Denver Co
If you feel any significantly increased pain or something just doesnt feel right after your spine surgery contact your surgeon right away to address the issue.

Signs that your cervical fusion is failing. If you underwent back surgery and you are have allowed the proper amount of time to heal and you are still experiencing the symptoms you had before the surgery it is likely the surgery was not a success. Issues in the neck that result in fusion surgery are often related to degenerative conditions such as Arthritis and Degenerative Disc Disease so many doctors look for indications that this is occurring. This is called failed back or failed fusion syndrome which is characterized by intractable pain and an inability to return to normal activities.
After any spine surgery a percentage of patients may still experience pain. In very unstable spines it is therefore a race between the spine fusing and the patients bone then providing support for the spine. However like any other metal it can fatigue and break sort of like when one bends a paper clip repeatedly.
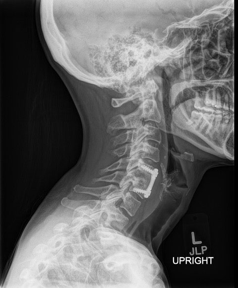
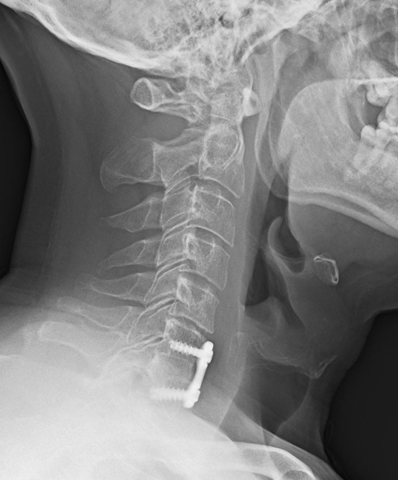
Another common definition of a failed spinal fusion is continuously experiencing a significant amount of back and leg pain despite multiple fusions. It is still unknown whether having a fusion surgery with the resulting loss of motion between the vertebrae contributes to the faster disc degeneration above and below the fusion. This appears around a screw used in the surgery to stabilize your spine until the bones fuse and area able to provide support and stability.
Chronic Nerve Injury or Irritation Assuming there are no issues with alignment and the fusion appears to be successful nerve damage may be the source of ongoing pain. If you have any significant pain after you have recovered from cervical spine surgery it is known as failed cervical fusion. Surgery may be able to fix the condition but not eliminate the pain.
Infection and Recovery Problems. The pain may be a dull ache or a sharp stabbing sensation. You do have foraminal stenosis at C4-5 along with cord compression the radiologist does not note the degree of.
Therefore spinal hardware eg. One of the best signs for pseudoarthrosis failed fusion is a halo formation on the x-ray or CT scan. Finally how well does it work to try a different approach when treating failed fusions.
Ed And Rosemarie 90 Day Fiance What are symptoms of failed cervical fusion-----The purpose of our channel is to create informational videos. Products commercially available that have been approved for use are showing some improved results in early studies but there are reported side effects with cervical fusion eg neck swelling difficulty swallowing that have raised some concern. Symptoms of failed back and neck surgery can be quite obvious although there are some that would point to a new condition being caused by the failed surgery.
Studies show that fusion is almost always possible but symptoms dont always change as a. The symptoms of anterior cervical fusion rejection include a general feeling of illness or discomfort. The major symptom of rejection is failure of the bone graft to take which means your vertebrae will not fuse with the new bone or with each other.
In about six percent of the cases the fusion doesnt work. Hardware and Screw Problems. According to the radiologist your foramen the nerve exit zones are not compressed so the right arm pain is probably not from this level.
More rarely you could experience pain or swelling in your. These sensations are caused by the hostile response from your immune system. Severe headache is a common symptom of dural leak If left untreated may lead to infection brain abscess and bleeding 5.
It has been estimated that about ¼ of patients will have symptoms from problems at an adjacent disc by 10 years after surgery. At C5-6 you have cervical isolated disc resorption which can cause your base of neck and bilateral shoulder pain. If movement remains at the level of the fusion its called a pseudoarthrosis which means a false joint The spine is unstable and may cause problems for the patient.
The failure of fusion to address pain over the long term is evidenced by both the high rate of reoperation and a growing body of research indicating fusion patients continued opioid dependency after surgery. Alternatively the same factors that caused the problems at the discs that required surgery may have ultimately impacted the. If a plate or screw has moved out of place or broken in some way a revision surgery will.
If there is an issue with your implanted spine hardware your physician will first confirm with an x-ray or other imaging scan. The cause of failed cervical fusion surgery can vary considerably with possibilities that include. If the fusion doesnt happen as it should pseudoarthrosis the screws can loosen.
Pedicle screws may be used as an internal splint to hold the spine while it fuses after spine surgery.
Ok Wrong Neck Fusion Pain Gone Horribly Wrong
Why Am I Still In Pain After My Fusion Surgery Bonati
Spine Conference Failed Cervical Fusion Youtube
Failure Of Cervical Artificial Discs Spine Specialist Vail Aspen Denver Co
Failed Cervical Fusion Atlanta Neck Pain Ga Spine Center
Remove Injured Or Degenerative Spinal Discs With Cervical Fusion Surgery
Ok Wrong Neck Fusion Pain Gone Horribly Wrong
Failure Of Cervical Artificial Discs Spine Specialist Vail Aspen Denver Co
What You Need To Know About Failed Back Surgery Syndrome
Clinical And Retrieval Evidence For Corrosion Of Spine Implants Spinal Surgery News
Cervical Symptoms Recur After Artificial Disc Replacement
Cervical Adjacent Segment Disease Risks And Complications Following Cervical Fusion Caring Medical Florida
Revision Surgeries Following Artificial Disc Replacement Of Cervical Spine Sciencedirect
Cervical Adjacent Segment Disease Risks And Complications Following Cervical Fusion Caring Medical Florida
Popular Posts
Firstgroup America Benefits Enrollment
- Get link
- X
- Other Apps
Comments
Post a Comment